치과의사를 가르치는
치과의사에게 받는 진료
조선대 치과병원 외래교수 역임
평생 사용하실 수 있도록 직접 수술합니다
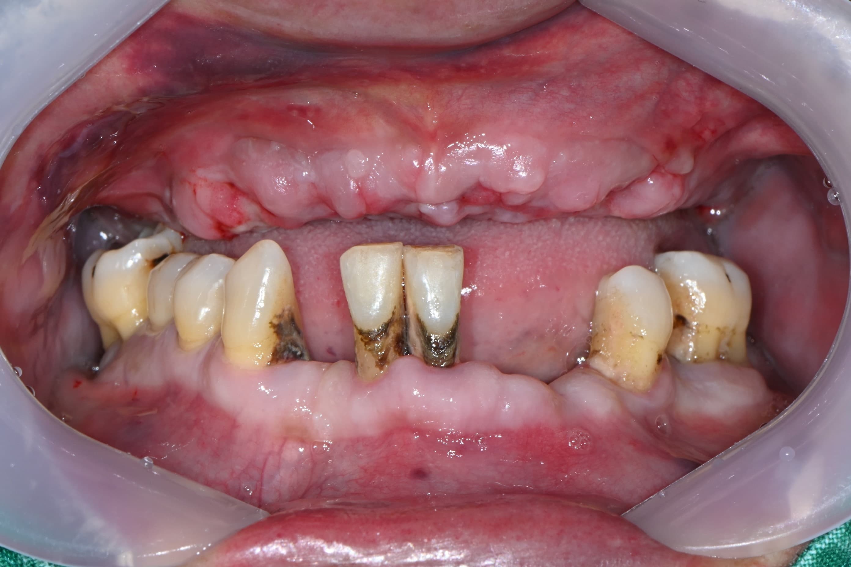
치아가 하나도 없어도
나에게 맞는 선택지
비용, 기간, 편안함까지 고려하여
가장 합리적인 치료 방법을 제안해드립니다.
건강보험이 적용되어 비용 부담이 가장 적습니다. 다만 뺐다 꼈다 해야 하고 저작력이 자연치아의 20~30% 수준으로 음식 섭취에 제한이 생길 수 있습니다.
임플란트 2개를 심고 틀니와 연결하는 방식입니다. 65세 이상은 임플란트 2개까지 건강보험이 적용됩니다. 일반 틀니보다 안정감이 높아지지만 음식 제한은 여전히 있습니다.
임플란트 2~4개를 심고 그 위에 탈착식 틀니를 연결하는 방식입니다. 오버덴처 자체는 건강보험 비급여이며, 전체 치료비를 직접 부담해야 합니다. 대신 임플란트 틀니보다 임플란트 수가 많아 고정력과 저작력이 뚜렷하게 향상됩니다.
한 악에 8~12개의 임플란트를 심어 전체 치아를 커버합니다. 치료가 잘 되면 식생활에 아무 제한이 없으며 내 치아처럼 편안하게 사용하실 수 있습니다.
한 악당 4~6개의 임플란트만으로 전체 치아를 완성합니다. 뼈가 좋은 곳만 골라 심기 때문에 뼈이식을 최소화하고 기간은 짧아지면서도 전체 임플란트의 편리함을 누릴 수 있습니다.
나에게 딱 맞는 치료법,
대표원장님께 직접 물어보세요
뼈 상태와 예산에 맞춰 무조건 비싼 치료가 아닌,
내 부모님께 권할 수 있는 가장 정직한 방법을 찾습니다.
고덕퍼스트치과가
특별한 이유
치과의사를 가르치는
통합치의학과 전문의
조선대학교 치과병원 외래교수 역임,
서울대학교 치의학대학원 임플란트 우수상 수료.
통합치의학과 전문의가 직접 진료합니다.


1,200회+ 임플란트
재수술 0건
고덕에듀타운 개원 이후 지금까지
임플란트 재수술 건이 단 한 건도 없습니다.
결과가 증명하는 실력입니다.

3D 디지털 진단으로
정밀 맞춤 수술
3D CT 분석과 디지털 가이드를 통해
뼈 상태에 최적화된 위치에 식립합니다.
최소 절개, 최소 뼈이식으로 회복이 빠릅니다.

3D CT 정밀 분석
뼈 밀도·두께를 3D로 정확히 파악
디지털 수술 가이드
설계대로 정확하게 식립
최신 장비 완비
스캐너, 디지털 기공 시스템 보유
수술 후에도
끝까지 책임진료
대표원장이 상담부터 수술, 유지관리까지
직접 담당합니다. 중간에 바뀌는 의사 없이
처음부터 끝까지 같은 원장이 진료합니다.
정기 검진
6개월 주기 정기검진으로 상태 확인
전문가 클리닝
임플란트 주위 염증 예방 스케일링
개인별 관리 계획
환자 상태에 맞는 맞춤형 유지관리
보철 품질을 결정하는
기공소의 차이
원내 기공소보다 더 좋은 선택이 있습니다
원내 기공소 운영 치과
소규모 원내 기공소 → 전문성 한계
기공사 1~2명 규모로 검증 어려움
최신 장비·재료 업데이트 느림
고덕퍼스트치과
대학병원·동료 원장 네트워크로 엄선한 전문 기공소
최신 CAD/CAM 장비와 전문 인력 완비
원장과 긴밀한 소통으로 정밀한 교합 구현
보철 품질 불만족 시 즉시 재제작 대응
💡 좋은 기공소를 아는 것도 실력입니다
대학병원 외래교수로 활동하며 쌓은 동료 교수·원장들과의 네트워크 덕분에, 검증된 전문 기공소를 엄선해 사용하고 있습니다. 규모가 작은 원내 기공소보다 더 높은 수준의 보철 품질을 보장합니다.
DENTAL LAB
보철 품질을 위한
엄선된 전문 기공소
좋은 기공소를 아는 것도 실력입니다
기공사의 실력이 보철의 품질을 결정합니다
아무리 좋은 임플란트를 심어도, 위에 올라가는 보철물이 정밀하지 않으면 소용없습니다. 대표원장이 직접 검증한 전문 기공소에서 제작합니다.
왜 전문 기공소인가요?
대학병원 네트워크로 검증된 곳만
대학병원 외래교수로 활동하며 쌓은 동료 교수·원장들과의 네트워크를 통해, 실력이 검증된 전문 기공소를 엄선합니다.
소규모 원내 기공소와 다른 전문성
전문 기공소는 최신 CAD/CAM 장비와 숙련된 기공사 인력을 갖추고 있어, 1~2명 규모의 원내 기공소보다 훨씬 높은 수준의 보철물을 제작합니다.
원장과 긴밀한 소통
단순히 의뢰하고 받는 것이 아니라, 원장이 직접 케이스를 설명하고 기공사와 협의하여 환자 개개인에 맞는 교합과 심미를 구현합니다.
💡 원내 기공소가 항상 좋은 건 아닙니다
원내 기공소는 속도는 빠르지만, 소수 인력으로 운영되다 보니 전문성과 장비에 한계가 있는 경우가 많습니다. 고덕퍼스트치과는 속도보다 품질을 선택했습니다. 처음부터 제대로 만들어야 오래 쓸 수 있습니다.
.png&w=750&q=75)
AFTER CARE
심는 것보다 중요한 것은
사후 관리입니다
"평생 사용하실 수 있도록
끝까지 책임지겠습니다"
정기 검진 시스템
임플란트 식립 후 3개월, 6개월, 1년 주기로 정밀 검진을 진행하여 이상 여부를 조기에 발견합니다.
임플란트 주위 세정
전문 장비로 임플란트 주위 세균막을 제거하고, 주위염 예방을 위한 맞춤 관리를 진행합니다.
개인 맞춤 관리 계획
구강 상태에 따른 개인별 관리 계획을 수립하고, 올바른 칫솔질 및 치실 사용법을 안내합니다.

청결하고 안전한 수술 환경
대학병원급 감염 관리 시스템
고덕퍼스트치과 사후관리 프로세스
정기 검진
3·6·12개월 주기
전문 세정
주위염 예방
교합 점검
씹는 힘 균형 체크
평생 관리
지속적 사후 책임
임플란트 수술 후에도
대표원장이 직접 끝까지 책임집니다
고덕퍼스트치과는 항상
2번 수술합니다
대표원장이 직접 가상 임플란트 수술로
최적의 식립 위치를 설계한 후
실제 수술을 진행합니다
빠르고 편안한 수술로
붓기와 통증, 뼈이식 최소화

1
구강 내부를 스캐닝하는 3D구강 스캐닝 시스템으로 정밀 진단

2
컴퓨터상에서 구현된 구강 구조를 고려해 절개없이 치아를 심는 계획

3
직립 유도 장치를 시술 부위에 장착해 1mm의 오차 최소화

4
최소 절개로 타 시술에 비해 시술시간 단축과 통증 및 부기 최소화

5
상황에 따른 모의수술 진행으로 오차 최소화와 시술 만족도 상승
REAL PATIENT RESULTS
전체임플란트 전후 사례
실제 환자분들의 놀라운 변화를 확인하세요

Before

After ✨
박●● · 남성
전악 임플란트 · 엑스레이

Before

After ✨
박●● · 남성
전악 임플란트 · 실제사진
WHY GODUK FIRST
실력이 다르면
결과가 다릅니다
처음부터 제대로 하는 것이 가장 현명한 선택입니다
재수술 없는 완벽한 시술, 그것이 진짜 실력입니다
고덕퍼스트치과 임플란트
누적 임플란트 식립
2,000+
사랑니 발치 경력
4.9
환자 만족도 / 5.0
고덕퍼스트치과만의 차별화된 시스템
조선대 외래교수 직접 수술
대학병원에서 후배 의사들을 가르치는 검증된 전문의가 직접 집도합니다
오스템·포인트·덴티스 연구자문위원
국내 대표 임플란트 기업의 연구자문위원 최신 기술과 장비를 직접 활용합니다
3D 디지털 가이드 수술
0.1mm 오차의 정밀 식립 신경/혈관 손상 위험 최소화
무절개 & 당일 식립
출혈, 통증, 붓기 최소화 빠른 일상 복귀 가능
평생 사용할 임플란트, 누구에게 맡기시겠습니까?
대학병원 수준의 진료를 경험하세요
.png&w=750&q=75)
통합치의학전문의 이동현 원장
고덕퍼스트치과
최고의 의료진

이동현
대표원장치의학 석사
통합치의학과 전문의(보건복지부 인증)
- 조선대학교 치과병원 외래교수
- 서울대학교 치의학대학원 임플란트 치의학 우수상 수료
- 서울대학교 치의학대학원 고급치의학 수료
- 서울 경기고등학교 졸업
- 경기고등학교 동문치과
- 대한통합치의학 학회 정회원
- 오스템, 포인트, 덴티스 임플란트 연구자문위원
- Pennsylvania univ. 근관치료과정 수료
- ATC Implant Advanced 과정 수료
- KAYA 치과병원 Prosthetic Course 수료
- JPDA 소아치과 임상연수회 수료
- 턱관절장애교육연구회 수료
- 전) 이편한세상치과 원장
- 전) 퍼스트인치과 원장

GODUK FIRST DENTAL CLINIC
처음부터 제대로,
끝까지 책임지는 치과
대학병원 외래교수 출신 원장이
직접 상담하고 직접 수술합니다
.png&w=750&q=75)
고덕퍼스트치과가
최고인 이유
1
보건복지부 인증
통합치의학과 전문의
대표원장이 직접 상담, 수술, 사후관리까지 책임집니다

2
오스템, 포인트, 덴티스
임플란트 연구자문위원
국내 대표 임플란트 기업의 연구자문위원으로 활동하며
최신 기술과 장비를 직접 활용합니다

3
최신 디지털 장비 완비
3D CT, 디지털 스캐너, 디지털 가이드 수술 시스템 등
최첨단 장비로 정밀한 진료를 제공합니다




병원 시설








경기 평택시 고덕로 250 에듀스카이 4층 401, 402호
진료시간
예약 문의
하단 버튼을 통해 AI 예약, 전화 상담, 또는 네이버 예약을 이용하실 수 있습니다.
자주 묻는 질문
틀니와 임플란트, 어떤 게 저에게 맞나요?
비용 부담이 크다면 건강보험이 적용되는 틀니가 적합하고, 저작력과 편안함을 원하신다면 임플란트 계열 치료가 더 좋습니다. 고덕퍼스트치과에서는 뼈 상태, 연령, 예산을 종합적으로 고려하여 최적의 치료를 추천해드립니다.
65세 이상이면 보험 혜택을 받을 수 있나요?
네, 65세 이상이라면 임플란트 2개까지 건강보험이 적용됩니다. 또한 틀니도 건강보험 적용 대상이어서 본인 부담금을 크게 줄일 수 있습니다. 구체적인 보험 적용 범위는 내원 시 상세히 안내해드립니다.
All on X 임플란트, 뼈가 없어도 가능한가요?
뼈 상태가 좋지 않은 분도 가능합니다. All on X는 뼈 상태가 좋은 부위를 선택해 임플란트를 식립하므로, 뼈이식을 최소화할 수 있습니다. 3D CT 정밀 진단 후 가능 여부를 정확히 안내해드립니다.
전체 임플란트 치료 기간이 얼마나 걸리나요?
All on X는 평균 3~6개월, 고전적 전체 임플란트는 뼈이식 여부에 따라 6개월~1년 정도 소요될 수 있습니다. 수술 직후 임시 보철물을 장착하므로 치아 없이 지내는 기간은 없습니다.
전체 임플란트 후 음식을 마음껏 먹을 수 있나요?
네, 치료가 성공적으로 마무리되면 식생활에 거의 제한이 없습니다. 자연치아 저작력의 80~90%를 회복하여 고기, 사과 등 단단한 음식도 편하게 드실 수 있습니다.