고덕퍼스트치과
고덕퍼스트치과

대학병원 수술의 퀄리티를
그대로 느껴보세요.

서울대 치의학대학원 임플란트 우수상 수료,
조선대 치과병원 외래교수 역임한
이동현 원장이 직접 수술합니다.

고덕퍼스트치과

치과의사를 가르치는
치과의사에게 받는 진료

조선대학교 치과병원 외래교수 출신
이동현 원장이 직접 수술합니다

1,200회+ 임플란트 식립 횟수
0 임플란트 재수술 - 고덕에듀타운 개원 이후 재수술 0건
4.9/ 5.0 환자 만족도 - 카카오, 구글, 네이버 지도 기준
고덕퍼스트치과

고덕퍼스트치과가
특별한 이유

1
REASON 01

현직 대학병원 외래교수로서
임플란트에 대해
치과의사들을 가르치고 있습니다

임플란트 수술, 누가 하느냐가 가장 중요합니다. 대학병원에서 난이도 높은 수술을 집도해온 조선대학교 치과병원 외래교수가 직접 수술합니다.

이동현 원장 각종 인증서
이동현 원장 이력 및 보건복지부 인증
이동현 원장 수술 모습

통합치의학과 전문의 책임 진료

고난이도 임플란트부터 최종 보철까지
보건복지부 인증 전문의가 직접 책임집니다

오스템·포인트·덴티스 임플란트 연구자문위원

국내 대표 임플란트 기업의 연구자문위원으로
최신 기술과 장비를 직접 활용합니다

2
REASON 02

고덕퍼스트치과는 항상
2번 수술합니다

대표원장이 직접 가상 임플란트 수술로
최적의 식립 위치를 설계한 후 실제 수술을 진행합니다

3D 디지털 가이드 수술

빠르고 편안한 수술로
붓기와 통증, 뼈이식 최소화

1

3D 구강 스캐닝

구강 내부를 스캐닝하여 정밀 진단

2

가상 수술 설계

컴퓨터상에서 최적의 식립 계획 수립

3

가이드 장착

1mm 오차도 없는 정밀 유도 장치

4

최소 절개 수술

시술시간 단축, 통증/붓기 최소화

5

모의수술 검증

오차 최소화로 시술 만족도 상승

3
REASON 03

무절개 임플란트 &
당일 식립

잇몸을 절개하지 않아 통증과 붓기가 적고
빠른 회복이 가능합니다

무절개 임플란트 수술
01무절개 임플란트
  • • 잇몸 절개 없이 작은 구멍으로 식립
  • • 출혈, 통증, 붓기 최소화
  • • 수술 후 빠른 일상 복귀
02발치 후 당일 식립
  • • 발치와 동시에 임플란트 식립
  • • 내원 횟수와 치료 기간 단축
  • • 잇몸뼈 손실 최소화
4
REASON 04

임플란트 수명을 결정하는
과학적 사후 관리

임플란트 실패의 주원인은 '염증'입니다.
눈에 보이지 않는 입속 유해균까지 분석하여
임플란트 주위염을 원천 차단합니다.

심는 것보다 관리가 더 중요합니다

자연 치아보다 염증에 취약한 임플란트.
정밀 검사로 세균 분포를 파악하고
개인별 맞춤 관리로 수명을 획기적으로 늘립니다.

데이터 기반 주위염 예방 시스템

  • 임플란트 주위염 유발균 추적
  • 염증 발생 전 선제적 예방 조치
  • 객관적 데이터에 기반한 평생 관리
Doctor's Note. 자연 치아의 가치는 약 3,000만 원입니다. 정밀 검사로 소중한 치아를 지켜드립니다.
5
REASON 05

최소식립, 최소절개
최소 뼈이식

정밀한 디지털 진단으로
꼭 필요한 만큼만 최소한의 시술을 진행합니다

최소식립

상악 6개, 하악 4개만 심어도 단단하게 고정

최소절개

회복이 빠른 최소 절개 수술

최소 뼈이식

정밀 진단으로 최소한의 뼈이식만 진행

고덕퍼스트치과

AFTER CARE

심는 것보다 중요한 것은
사후 관리입니다

"평생 사용하실 수 있도록
끝까지 책임지겠습니다"

🔍

정기 검진 시스템

임플란트 식립 후 3개월, 6개월, 1년 주기로 정밀 검진을 진행하여 이상 여부를 조기에 발견합니다.

🦷

임플란트 주위 세정

전문 장비로 임플란트 주위 세균막을 제거하고, 주위염 예방을 위한 맞춤 관리를 진행합니다.

📋

개인 맞춤 관리 계획

구강 상태에 따른 개인별 관리 계획을 수립하고, 올바른 칫솔질 및 치실 사용법을 안내합니다.

고덕퍼스트치과 수술실

청결하고 안전한 수술 환경

대학병원급 감염 관리 시스템

고덕퍼스트치과 사후관리 프로세스

1

정기 검진

3·6·12개월 주기

2

전문 세정

주위염 예방

3

교합 점검

씹는 힘 균형 체크

4

평생 관리

지속적 사후 책임

임플란트 수술 후에도
대표원장이 직접 끝까지 책임집니다

고난도 치료

전악 구강재건
전후 사례

완전히 망가진 구강을
건강한 일상으로 복귀시킨 케이스

통합치의학과 전문의의 통합 치료

통합치의학과 전문의가 임플란트, 크라운, 브릿지 등 다양한 치료를 환자 상태에 맞게 최적으로 조합하여, 합리적인 비용으로 최상의 결과를 만들어 드립니다.

Before

Before

After

After

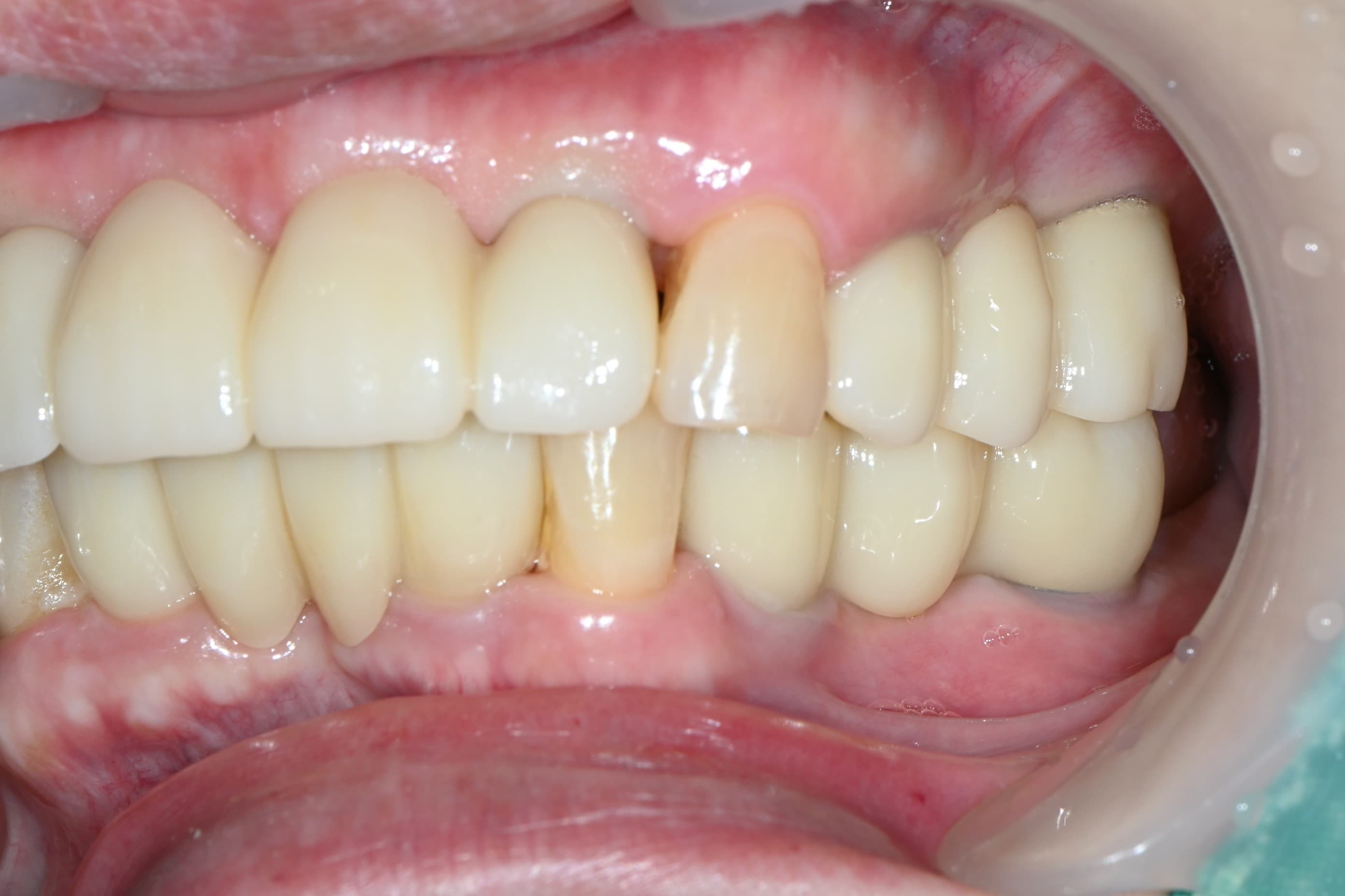
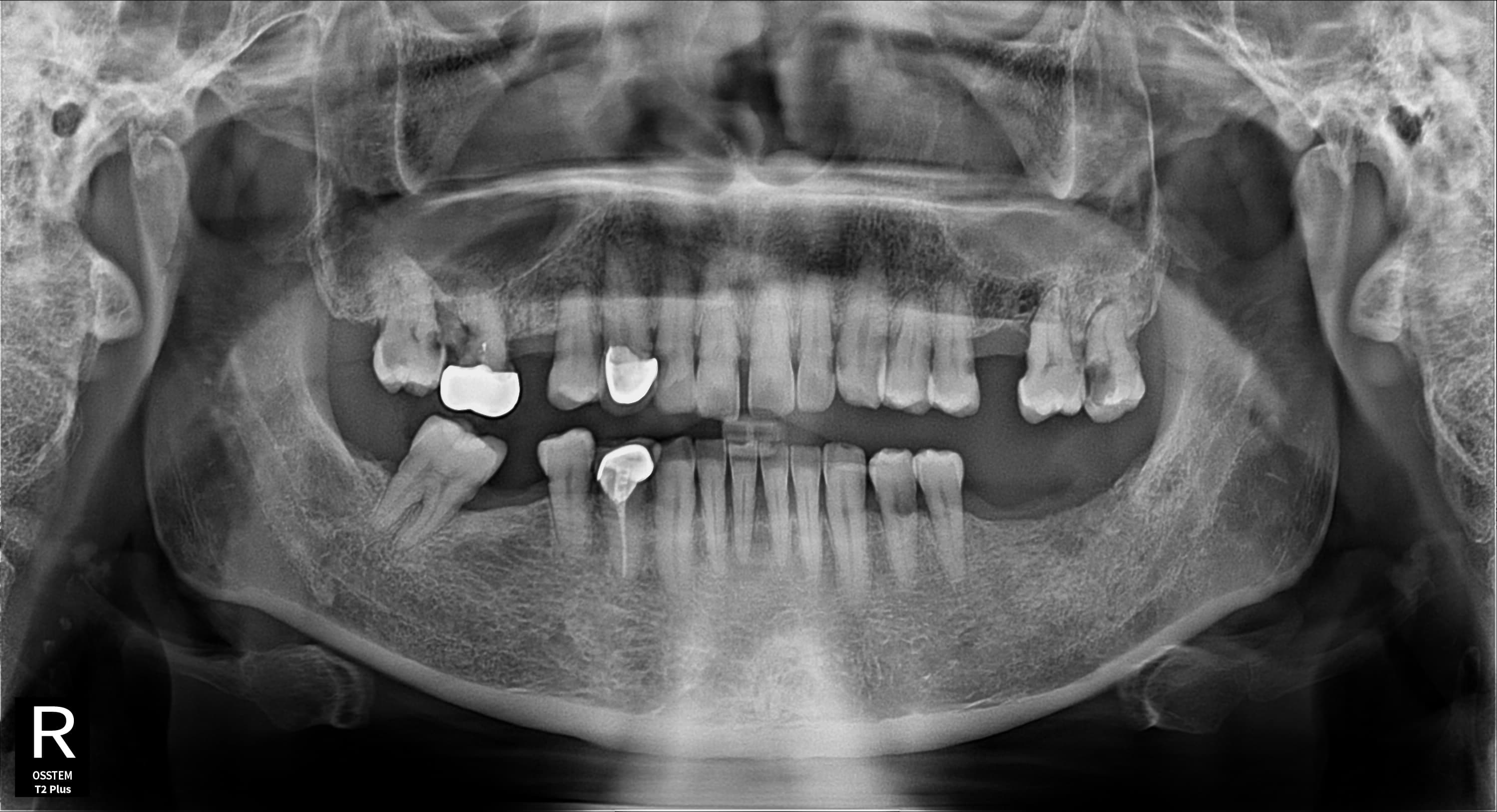
다수 임플란트 · 엑스레이 · 지●● · 남성

Before

Before

After

After

다수 임플란트 · 실제사진 · 지●● · 남성

디지털 가이드
임플란트 전후 사례

Before

Before

After

After

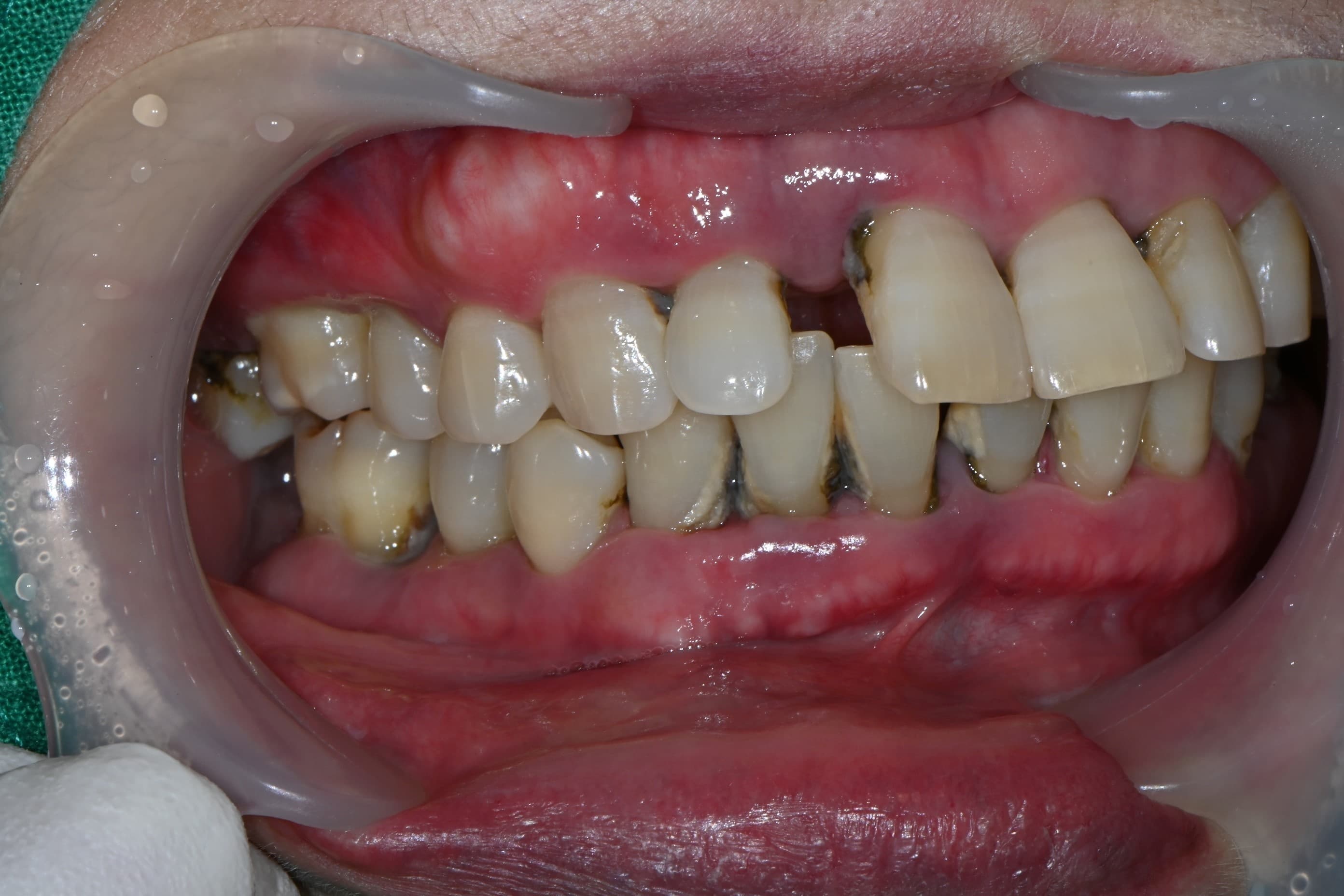
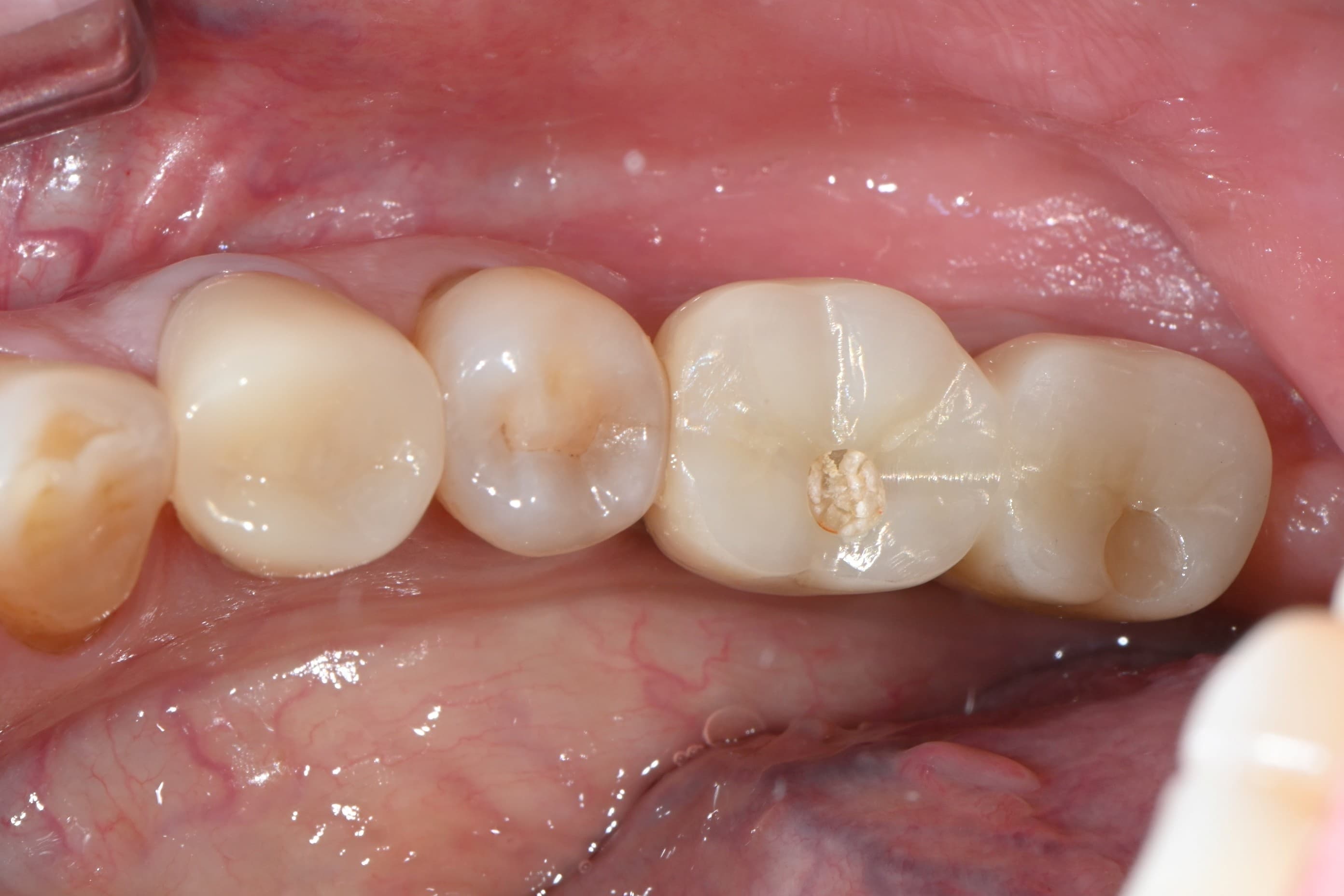
임플란트 보철 · 엑스레이 · 지●● · 남성

Before

Before

After

After

임플란트 보철 · 실제사진 · 지●● · 남성

Before

Before

After

After

임플란트 · 실제사진 · 이●● · 여성

WHY GODUK FIRST

실력이 다르면
결과가 다릅니다

처음부터 제대로 하는 것이 가장 현명한 선택입니다
재수술 없는 완벽한 시술, 그것이 진짜 실력입니다

고덕퍼스트치과 임플란트

1,200회+

누적 임플란트 식립

2,000+

사랑니 발치 경력

4.9

환자 만족도 / 5.0

고덕퍼스트치과만의 차별화된 시스템

조선대 외래교수 직접 수술

대학병원에서 후배 의사들을 가르치는 검증된 전문의가 직접 집도합니다

교육자의 실력

오스템·포인트·덴티스 연구자문위원

국내 대표 임플란트 기업의 연구자문위원 최신 기술과 장비를 직접 활용합니다

검증된 기술

3D 디지털 가이드 수술

0.1mm 오차의 정밀 식립 신경/혈관 손상 위험 최소화

정밀한 기술

무절개 & 당일 식립

출혈, 통증, 붓기 최소화 빠른 일상 복귀 가능

편안한 수술

평생 사용할 임플란트, 누구에게 맡기시겠습니까?

대학병원 수준의 진료를 경험하세요

고덕퍼스트치과

통합치의학전문의 이동현 원장

고덕퍼스트치과
최고의 의료진

이동현 대표원장

이동현

대표원장

치의학 석사

통합치의학과 전문의(보건복지부 인증)

  • 조선대학교 치과병원 외래교수
  • 서울대학교 치의학대학원 임플란트 치의학 우수상 수료
  • 서울대학교 치의학대학원 고급치의학 수료
  • 서울 경기고등학교 졸업
  • 경기고등학교 동문치과
  • 대한통합치의학 학회 정회원
  • 오스템, 포인트, 덴티스 임플란트 연구자문위원
  • Pennsylvania univ. 근관치료과정 수료
  • ATC Implant Advanced 과정 수료
  • KAYA 치과병원 Prosthetic Course 수료
  • JPDA 소아치과 임상연수회 수료
  • 턱관절장애교육연구회 수료
  • 전) 이편한세상치과 원장
  • 전) 퍼스트인치과 원장
고덕퍼스트치과 원장 이력 및 인증

GODUK FIRST DENTAL CLINIC

처음부터 제대로,
끝까지 책임지는 치과

대학병원 외래교수 출신 원장이
직접 상담하고 직접 수술합니다

고덕퍼스트치과

고덕퍼스트치과가
최고인 이유

1

보건복지부 인증
통합치의학과 전문의

대표원장이 직접 상담, 수술, 사후관리까지 책임집니다

보건복지부 인증 통합치의학과 전문의 및 원장 이력

2

오스템, 포인트, 덴티스
임플란트 연구자문위원

국내 대표 임플란트 기업의 연구자문위원으로 활동하며
최신 기술과 장비를 직접 활용합니다

오스템·포인트·덴티스 임플란트 연구자문위원 각종 인증서

3

최신 디지털 장비 완비

3D CT, 디지털 스캐너, 디지털 가이드 수술 시스템 등
최첨단 장비로 정밀한 진료를 제공합니다

3D CT 스캐너 장비
디지털 스캐너와 X-ray 모니터가 갖춰진 진료실
최신 장비가 갖춰진 수술실
OSSTEM 유닛 완비 진료실
고덕퍼스트치과

건강한 치아, 행복한 미소를 위한 첫 걸음을
함께하세요

병원 시설

고덕퍼스트치과 로비
고덕퍼스트치과 데스크
고덕퍼스트치과 상담실
고덕퍼스트치과 진료실
고덕퍼스트치과 특진실
고덕퍼스트치과 소독실
고덕퍼스트치과 인테리어
고덕퍼스트치과 위치

경기 평택시 고덕로 250 에듀스카이 4층 401, 402호

자세히 길찾기

진료시간

월 / 목 (야간진료) :AM 10:00 – PM 09:00
화 / 수 / 금 :AM 10:00 – PM 07:00
토요일 :AM 09:30 – PM 02:00
(점심시간 없음)
점심시간 :PM 01:00 – PM 02:00
(월~금)
휴진 :일요일 및 공휴일

예약 문의

하단 버튼을 통해 AI 예약, 전화 상담, 또는 네이버 예약을 이용하실 수 있습니다.

자주 묻는 질문

전체 임플란트만 진행하시나요?

아닙니다. 고덕퍼스트치과는 1개 치아 임플란트부터 전체 임플란트(All on X)까지 모든 임플란트 치료를 진행합니다. 개별 임플란트도 동일하게 디지털 가이드 수술 시스템을 적용하여, 정밀하고 빠른 치료를 제공합니다.

디지털 가이드 수술, 비용이 비싸지 않나요?

고덕퍼스트치과는 합리적인 가격으로 높은 품질의 임플란트 치료를 제공합니다. 디지털 가이드 수술의 정밀함으로 한 번에 제대로 하여 장기적으로 더 경제적입니다. 65세 이상은 건강보험 적용이 가능하며, 무이자 할부와 다양한 이벤트를 통해 부담을 덜어드립니다.

수술 후 바로 식사가 가능한가요?

네, 가능합니다. 수술 직후 임시치아를 제공하여 부드러운 식사가 가능합니다. 치아 없이 지내는 날은 단 하루도 없으며, 수술 직후부터 최종 보철물 장착까지 편안한 일상생활을 유지하실 수 있습니다.

디지털 가이드 수술이 일반 수술과 어떻게 다른가요?

디지털 가이드 수술은 3D 구강 스캐닝으로 정밀 진단 후, 컴퓨터상에서 가상 수술을 먼저 진행합니다. 이를 통해 최적의 식립 위치를 설계하고, 1mm의 오차도 최소화하여 절개를 최소화합니다. 결과적으로 시술시간이 단축되고 통증, 부기, 뼈이식이 최소화됩니다.

전체 임플란트 치료, 얼마나 걸리나요?

개인의 구강 상태에 따라 다르지만, 일반적으로 3-6개월 정도 소요됩니다. 수술 직후부터 임시치아를 사용하실 수 있으며, 뼈와 임플란트가 완전히 유착된 후 최종 보철물을 장착합니다. 정확한 기간은 3D CT 진단 후 안내해 드립니다.

임플란트 수술, 아프지 않나요?

통증완화시스템(가글마취, 무통마취)을 통해 편안하게 시술받으실 수 있습니다. 수술 중에는 거의 통증을 느끼지 못하시며, 수술 후에도 디지털 가이드 수술의 최소 절개 방식으로 붓기와 통증이 일반 수술에 비해 현저히 적습니다. 처방된 진통제로 충분히 관리 가능한 수준입니다.

전체 임플란트가 틀니보다 정말 좋나요?

네, 확실히 다릅니다. 틀니는 자연치아 저작력의 30%만 유지하지만, 임플란트는 80-90%까지 회복되어 씹는 맛이 완전히 다릅니다. 빼고 끼는 번거로움이 없고 관리도 자연치아처럼 간편하며, 위생적입니다. 한 번 시술하면 평생 사용 가능하고, 환하게 웃을 수 있어 심리적으로도 자신감을 되찾으실 수 있습니다.

본 웹사이트의 치료 사례 및 후기는 개인의 경험에 따른 것으로, 치료 효과는 개인에 따라 다를 수 있습니다. 모든 의료 행위에는 출혈, 감염, 부종 등의 부작용이 발생할 수 있으며, 정확한 진단과 치료 계획은 반드시 전문의와 상담 후 결정하시기 바랍니다.

고덕퍼스트치과

고덕퍼스트치과의원

대표 : 이동현

사업자등록번호 : 210-49-03603

주소 : 경기도 평택시 고덕면 고덕로 250, 에듀스카이 4층 401,402호

대표번호 : 031-611-3222