.png&w=750&q=75)
모든 타입의 사랑니,
저희는 다 경험했습니다
대학병원 외래교수 역임 원장이
어떤 어려운 케이스도 안전하게 발치합니다
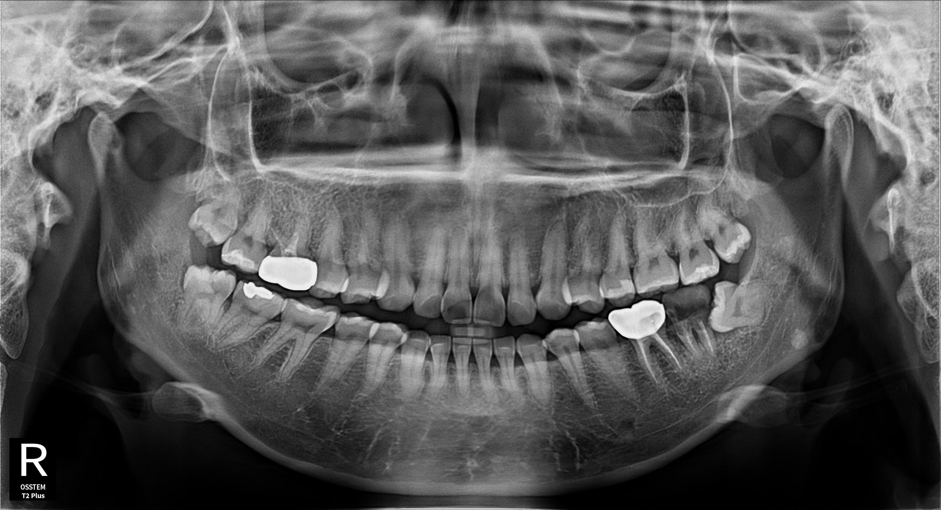
사랑니 발치,
전후 사례로 확인하세요
실제 환자분의 발치 전·후
임상 사진입니다
왼쪽 아래 사랑니 발치
왼쪽 아래 매복 사랑니 안전 발치

Before

After
매복된 왼쪽 아래 사랑니를 안전하게 발치 완료
우측 아래 사랑니 발치
우측 아래 사랑니 발치 후 깔끔한 회복

Before

After
우측 아래 사랑니 발치 후 잇몸 깔끔하게 회복
임플란트 + 사랑니 동시 시술
임플란트 식립과 사랑니 발치를 한번에

Before

After
임플란트 식립과 사랑니 발치를 동시에 진행하여 내원 횟수 최소화
DON'T WAIT
예고없이 찾아와요
사랑니 통증...
평온할 때 미리 해결하면 중요한 순간을 지킬 수 있습니다

군복무
군대에서 갑자기 아프면 처리 곤란

시험 기간
중요한 시험 전날 갑작스런 통증

결혼 · 면접
인생의 중요한 날 얼굴이 부어서...

여행 · 출장
해외 응급실 비싼 치료비
SYMPTOMS
사랑니로 인해
발생할 수 있는 증상
사랑니가 자라는 형태나
위치에 따라 여러 증상이 나타날 수 있습니다
누운 사랑니
옆으로 누워 자라며 옆 치아를 압박할 수 있습니다
염증 발생
방치된 사랑니로 인해 잇몸이 붓고 염증이 생길 수 있습니다
RISK LEVELS
사랑니 상태별 위험도
상태에 따라 발치 시기와 방법이 달라집니다
저위험
정상 사랑니
정상적으로 자란 사랑니도 관리가 어려워 충치 위험이 높습니다
중위험
부분매복 사랑니
음식물이 끼기 쉽고 염증이 자주 발생합니다
고위험
완전매복 사랑니
낭종 형성 가능성이 있어 조기 발치가 필요합니다
고위험
치근만곡 사랑니
뿌리가 구부러져 있어 발치 난이도가 높습니다
즉시 처치 필요
수평매복 사랑니
앞 치아를 밀어 치열 불균형과 충치를 유발합니다
PAINLESS & PRECISE
안 아프고
정확하게 뽑습니다
대학병원 외래교수 역임 원장의
체계적인 통증 완화 시스템
도포 · 가글 마취
주사 바늘의 따끔함부터 없앱니다. 표면 마취로 마취 주사 자체의 통증을 최소화합니다.
전동 무통 마취기
컴퓨터가 자동으로 주입 속도를 조절해 마취액이 천천히, 균일하게 들어가 통증이 거의 없습니다.
대학병원급 난이도 발치
일반 치과에서
"큰 병원 가보세요" 들어보셨나요?
복잡한 매복 사랑니 — 잇몸 속 깊이 묻혀있어도 OK
신경 근접 사랑니 — 신경 손상 걱정 없는 안전한 발치
수평 매복 사랑니 — 옆으로 누워있는 어려운 케이스도 가능
조선대 치과병원 외래교수 역임 원장이
직접 안전하게 해결합니다
WHY NOW
왜 지금 발치해야 할까요?
사랑니 방치 시 발생하는 문제
급성 염증
심한 통증과 얼굴 부종
인접 치아 충치
옆 치아까지 손상
턱관절 장애
만성 두통과 턱 통증
치열 불균형
교정 치료 필요
조기 발치의 장점
빠른 회복
젊을수록 회복 속도가 빠름
합병증 예방
염증 없을 땐 안전
비용 절감
문제 발생 전 처치
편안한 시술
염증 없어 마취가 잘 됨
참다참다 응급실 가시는
분들이 많아요
염증이 심해져서 새벽에 응급실을 찾는
환자분들이 매주 계십니다
미리 발치하면 이런 고통을 예방할 수 있습니다
.png&w=750&q=75)
통합치의학전문의 이동현 원장
고덕퍼스트치과
최고의 의료진

이동현
대표원장치의학 석사
통합치의학과 전문의(보건복지부 인증)
- 조선대학교 치과병원 외래교수
- 서울대학교 치의학대학원 임플란트 치의학 우수상 수료
- 서울대학교 치의학대학원 고급치의학 수료
- 서울 경기고등학교 졸업
- 경기고등학교 동문치과
- 대한통합치의학 학회 정회원
- 오스템, 포인트, 덴티스 임플란트 연구자문위원
- Pennsylvania univ. 근관치료과정 수료
- ATC Implant Advanced 과정 수료
- KAYA 치과병원 Prosthetic Course 수료
- JPDA 소아치과 임상연수회 수료
- 턱관절장애교육연구회 수료
- 전) 이편한세상치과 원장
- 전) 퍼스트인치과 원장

GODUK FIRST DENTAL CLINIC
처음부터 제대로,
끝까지 책임지는 치과
대학병원 외래교수 출신 원장이
직접 상담하고 직접 수술합니다
.png&w=750&q=75)
고덕퍼스트치과가
최고인 이유
1
보건복지부 인증
통합치의학과 전문의
대표원장이 직접 상담, 수술, 사후관리까지 책임집니다

2
오스템, 포인트, 덴티스
임플란트 연구자문위원
국내 대표 임플란트 기업의 연구자문위원으로 활동하며
최신 기술과 장비를 직접 활용합니다

3
최신 디지털 장비 완비
3D CT, 디지털 스캐너, 디지털 가이드 수술 시스템 등
최첨단 장비로 정밀한 진료를 제공합니다




병원 시설








경기 평택시 고덕로 250 에듀스카이 4층 401, 402호
진료시간
예약 문의
하단 버튼을 통해 AI 예약, 전화 상담, 또는 네이버 예약을 이용하실 수 있습니다.
자주 묻는 질문
통합치의학전문의가 무엇인가요?
통합치의학전문의는 보건복지부가 인증한 치과 전문의로, 임플란트, 보철, 보존, 잇몸치료 등 치과 전 분야를 통합적으로 진단하고 치료할 수 있는 전문의입니다. 고덕퍼스트치과 이동현 대표원장이 직접 상담, 수술, 사후관리까지 끝까지 책임집니다.
다른 치과와의 차별점이 무엇인가요?
고덕퍼스트치과는 보건복지부 인증 통합치의학과 전문의가 직접 진료합니다. 담당 의사가 자주 바뀌는 곳과 달리, 상담부터 수술, 사후관리까지 한 사람이 책임집니다. 서울대학교 치의학대학원 수료, 오스템/포인트/덴티스 임플란트 연구자문위원 등 풍부한 경력이 차별점입니다.
치료 비용이 부담스러울 것 같아요
고덕퍼스트치과는 합리적인 가격으로 최고 품질의 치료를 제공합니다. 보험 적용 가능한 항목은 최대한 활용하며, 무이자 할부와 다양한 이벤트를 통해 경제적 부담을 덜어드립니다. 무료 AI 상담으로 대략적인 견적을 먼저 확인하실 수 있습니다.
처음 방문 시 어떤 과정으로 진행되나요?
첫 방문 시 3D CT 정밀 진단으로 구강 상태를 정확히 파악합니다. 이후 통합치의학전문의와 1:1 상담을 통해 개인 맞춤 치료 계획을 수립하고, 치료 방법과 비용, 기간을 상세히 안내해 드립니다.